NITRIDING

Saltbath Nitriding With Hard Temp Cn4 & Hard Temp Cn2

THE COMPONENTS ARE

ENGINE VALVEPISTONROD
GEAR
CRANKSHAFT

ADVANTAGES OF LIQUID NITRDING

  • Liquid nitriding process is highly active, more efficient and time–saving compared to gas nitriding.
  • After liquid salt bath nitriding the parts can be quenched in water, oil or cooled in air.
  • The salt mixture is cyanide-free. So, the waste/carry over dose not require treatment / neutralization of toxic effect.
  • The nitriding parts can be given a bright lustrous black finish by a QPQ operation.
  • The thermo-chemical transformation involves negligible dimension change / distortion.

INTRODUCTION

Liquid nitriding process with HARDTEMP CN4 and HARDTEMP CN2 is a successful, nontoxic eco-friendly as well as cost effective case hardening technology used globally.
It effectively enhances the wear and corrosion resistance of plain carbon steel, low alloy steels and minimum & negligible distortion.
Liquid nitriding has unique features that precise over components including automotive, oil & gas, hydraulic and pneumatic machineries, metal forming and forging tools as well as general purpose industrial machineries.

PROCESSANDTECHNICAL DETAILS

The Nitriding salt bath includes base salt – HARDTEMP CN4 and regenerator salt – HARDTEMP CN2 that regenerates the bath. The bath should be maintained between 500°C to 630°C (i.e. 930°F – 1165°F).
NON-CYANIDE nitrogen enriched salts release a highly uniform controlled nitrogen. That in catalytic process diffuses into and chemically combined with nitride forming elements in the metal producing a tough, ductile compound layer with exceptional mechanical properties.
These hard compound layers have 200% to 1000% wear resistance properties, greater than the original material and greatly enhance the corrosion resistance, galling and scuffing. Fatigue strength is also typically enhanced 20% to 100%.

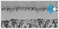
The Compound Layer is essentially Iron Nitrides + Other Metal Nitrides (In case of alloyed steel) + some Iron Oxides.
Diffusion Zone: The area below the compound layer where Nitrogen diffuses into the lattice Iron to form a solid solution.

APPLICATION

The nitriding process has wide application in automobile and other industries. The process is widely used for surface hardening of gears, camshaft, spindles, slide sand guides engine valves, bushes, flanges, aluminium Extrusion dies, hydraulic components, high speed steel tools, mining machineries, husking machines, pump bodies and many others.

After Nitriding, to obtain a bright, lustrous black finish use our Blackening Salt – SALTBLACK N 386by QPQ operation.

After Nitriding, the surface can be oxidized to create a 1.0 – 3.0 μm corrosion resistant, black iron-oxide layer.

Scroll to Top